Innovación en ortopedia pediátrica: osteosíntesis con tornillos de aloinjerto (España) – análisis estructurado del estudio de Gutierrez-Pereira et al.
Resumen técnico y divulgativo orientado a lectura clínica de una serie retrospectiva unicéntrica realizada en el Hospital General Universitario de Alicante (España) y publicada en Journal of Children’s Orthopaedics.
Nota importante
Este contenido es informativo. Resume datos y afirmaciones tal y como se describen en el artículo y sus enlaces oficiales. No sustituye la evaluación clínica individual ni constituye recomendación médica. En materia de tejidos humanos, el marco normativo de referencia incluye el Real Decreto-ley 9/2014 y la Directiva 2004/23/CE (y normativa de desarrollo asociada).
Enlaces oficiales: Texto completo (PMC12900655) · PubMed (PMID 41696354) · DOI 10.1177/18632521261420136
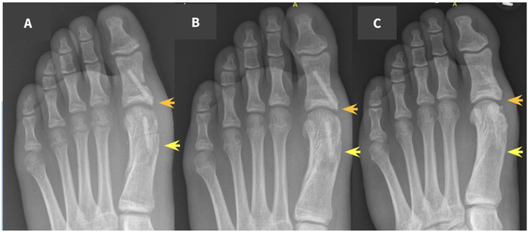
Cuando hablamos de innovación en ortopedia pediátrica, la literatura publicada es clave para contextualizar materiales y técnicas en población en crecimiento. En este marco, la publicación Osteosynthesis with allograft screws in pediatric orthopedics presenta una serie clínica de uso de tornillos de hueso cortical humano (aloinjerto) en cirugías del miembro inferior pediátrico, con resultados clínicos y radiológicos reportados por los autores.
Resumen del estudio (en 60 segundos)
| Diseño | Retrospectivo, unicéntrico; miembro inferior |
| Centro | Hospital General Universitario de Alicante (España) |
| Muestra | 30 pacientes (3–15 años), 50 tornillos |
| Periodo | 01/01/2020 – 01/01/2023 |
| Seguimiento | Media 44 meses (24–66) |
| Resultados clave reportados | Sin infecciones ni retraso de consolidación ni complicaciones mayores/menores; prominencia con disconfort en 3 pacientes; 2 (7%) con remodelado/recorte menor; reabsorción media 9 meses (5–15); AOFAS +38,28; VAS −4,16; satisfacción 4,79/5. |
1. Por qué este estudio se enmarca en innovación en ortopedia pediátrica en España
La publicación se presenta como una serie retrospectiva unicéntrica desarrollada en España, en una unidad de Ortopedia Pediátrica. En el propio texto, los autores señalan que, hasta la fecha, los estudios publicados sobre estos tornillos se habían centrado en pacientes adultos y que no había estudios publicados analizando su uso en población pediátrica.

2. Objetivo, diseño y entorno del estudio
2.1 Objetivo (según los autores)
El objetivo es analizar retrospectivamente resultados clínicos y radiológicos de tornillos de aloinjerto implantados en cirugía del miembro inferior pediátrico.
2.2 Diseño y reporte
- Diseño: retrospectivo, unicéntrico.
- Centro: Ortopedia Pediátrica del hospital.
- Se menciona el uso de guías STROBE para la preparación del estudio.
3. Población, volumen de implantes y periodo
3.1 Población incluida
- 30 pacientes (16 mujeres, 14 varones).
- Rango de edad: 3–15 años (edad media indicada en el artículo).
3.2 Volumen de implantes
La serie incluye 50 tornillos de hueso cortical humano (aloinjerto) implantados.
3.3 Periodo y seguimiento
- Periodo de inclusión: 01/01/2020 – 01/01/2023.
- Seguimiento medio: 44 meses (rango 24–66).
44
meses (seguimiento medio 24–66)
30
pacientes (3–15 años)
50
tornillos de aloinjerto cortical
4. Características del tornillo (según el artículo)
El texto describe diferentes longitudes, diámetros y morfologías de tornillos utilizados, en función de la necesidad quirúrgica.
- Longitudes reportadas: 15, 35 y 45 mm.
- Diámetros reportados: 3,5; 4,0; 4,5; 5,0.
- Morfologías referidas: Cut, Diver, Tendon, Suture.
5. Procedimientos incluidos (miembro inferior)
La serie incluye diferentes procedimientos del miembro inferior pediátrico. Entre los enumerados en el artículo:
- Chevron-Akin (hallux valgus juvenil)
- Artrodesis metatarsofalángica (MTF) / interfalángica (IF)
- Reinserciones tendinosas tibiales
- Osteotomías (p. ej., Dwyer, Evans)
- Otras técnicas (p. ej., Elmslie-Trillat, Paley “super knee”)
6. Variables evaluadas
El estudio reporta el análisis de variables clínicas y radiológicas. Entre las citadas:
- Complicaciones menores y mayores, reintervenciones y cicatriz hipertrófica.
- Escala funcional AOFAS.
- Dolor (VAS) y satisfacción postoperatoria (Likert 1–5).
- Tiempo de reabsorción evaluado con radiografías de seguimiento.
7. Resultados reportados
Resultados clínicos y de seguridad (según el artículo)
- Sin infecciones reportadas.
- Sin retraso de consolidación reportado.
- Sin complicaciones menores o mayores reportadas durante el seguimiento descrito.
- Disconfort por prominencia del implante en 3 pacientes; 2 (7%) con procedimiento secundario menor para remodelado/recorte.

7.1 Reabsorción y escalas
- Tiempo medio de reabsorción: 9 meses (rango 5–15).
- AOFAS: incremento medio +38,28 puntos vs preoperatorio.
- VAS: reducción media −4,16 puntos.
- Satisfacción (Likert 1–5): media 4,79.
8. Limitaciones metodológicas indicadas por los autores
El artículo menciona limitaciones habituales en este tipo de series, incluyendo:
- Diseño retrospectivo y unicéntrico.
- Ausencia de grupo control.
- Tamaño muestral y heterogeneidad de indicaciones/procedimientos.
9. Marco de tejidos humanos y trazabilidad (contexto normativo)
Los implantes derivados de tejido humano se encuadran en un marco de calidad y seguridad, trazabilidad y biovigilancia. En España, el Real Decreto-ley 9/2014 establece requisitos para donación, obtención, evaluación, procesamiento, preservación, almacenamiento y distribución de células y tejidos humanos. A nivel europeo, la Directiva 2004/23/CE establece normas de calidad y seguridad para tejidos y células humanos.
De forma complementaria, la Guía EDQM (Consejo de Europa) proporciona orientación práctica sobre el sistema de calidad, documentación e información acompañante de tejidos y células para aplicación humana. (Este apartado es informativo y regulatorio; no añade recomendaciones clínicas.)
📄 Accede a la normativa oficial
10. Contexto del tornillo (fuera del estudio): ¿qué es un “tornillo de aloinjerto cortical” y por qué se considera relevante en pediatría?
Importante (lectura correcta de este bloque)
Este apartado aporta contexto general sobre tornillos fabricados a partir de hueso cortical humano (aloinjerto). No forma parte del estudio resumido en este artículo y no debe interpretarse como indicación clínica ni recomendación de uso. La decisión de indicación y técnica corresponde al equipo quirúrgico.
¿Qué son los tornillos de cortical y de dónde provienen?
- Origen: se elaboran a partir de tejido óseo humano cortical (donación), por lo que se gestionan como tejido humano con requisitos de calidad, seguridad y trazabilidad.
- “Cortical”: el hueso cortical es la parte más densa del hueso; por eso se asocia a un comportamiento estructural (soporte/fijación) en términos generales.
- Formato: se conforman con geometría de tornillo (longitud/diámetro/rosca), para ser utilizados como elemento de fijación en técnicas seleccionadas.
- Procesado (visión general): selección del tejido, conformado y acondicionamiento bajo un sistema de calidad; etiquetado y documentación para trazabilidad/biovigilancia (sin entrar en procesos específicos de fabricante).

Tipos de tornillo de aloinjerto humano Shark Screw
¿Por qué se consideran interesantes en cirugía pediátrica? (beneficio quirúrgico + pediátrico, en términos generales)
En ortopedia pediátrica se planifica pensando en crecimiento, seguimiento a largo plazo y, cuando es posible, en reducir reintervenciones. En ese marco, estos tornillos se discuten por ventajas potenciales como:
- Fijación estructural con material biológico: al ser hueso cortical, se valora como una opción “estructural” dentro del entorno de los injertos óseos (concepto general).
- Regeneración / remodelado (contexto): al tratarse de tejido óseo, se relaciona conceptualmente con procesos de remodelado/reabsorción descritos para injertos óseos en general, aspecto relevante en población en crecimiento (sin extrapolar a un caso concreto).
- Evitar retirada de material (objetivo potencial): en casos seleccionados, se considera por la posibilidad de reducir la necesidad de una segunda cirugía de retirada de implantes, dependiendo de técnica, localización y evolución.
- Planificación pediátrica: se contempla dentro de estrategias quirúrgicas que buscan respetar el entorno anatómico y la planificación del crecimiento, siempre bajo criterio clínico.
En cualquier caso, la indicación, selección del material y técnica quirúrgica corresponden al equipo clínico y deben basarse en evaluación individual.
Marco normativo (tejido humano): la obtención, evaluación, procesamiento, preservación, almacenamiento y distribución de tejido humano se enmarcan en el RD 9/2014 (España) y la Directiva 2004/23/CE (UE), entre otras normas de desarrollo aplicables. Orientación operativa: Guía EDQM (5ª ed.).
11. Conclusión editorial (sin recomendaciones clínicas)
Desde un punto de vista de evidencia publicada, esta serie aporta datos estructurados en población pediátrica sobre un implante derivado de tejido humano, con reporte de seguimiento, eventos y escalas funcionales según el artículo. El hecho de que se trate de una serie desarrollada en un centro español y que los autores la presenten como la primera serie pediátrica publicada contribuye a ampliar la literatura disponible en el marco de innovación en ortopedia pediátrica.
Como en cualquier serie retrospectiva unicéntrica, la lectura crítica debe tener en cuenta las limitaciones declaradas por los propios autores (ausencia de control, tamaño muestral y heterogeneidad).
FAQ
¿Dónde se realizó el estudio?
En el Hospital General Universitario de Alicante (España), en una unidad de Ortopedia Pediátrica.
¿Cuántos pacientes y tornillos incluye la serie?
30 pacientes (3–15 años) y 50 tornillos.
¿Qué resultados principales reporta el artículo?
Sin infecciones, sin retraso de consolidación y sin complicaciones mayores/menores; disconfort por prominencia en 3 pacientes y 2 (7%) con remodelado/recorte menor; reabsorción media 9 meses (5–15); AOFAS +38,28; VAS −4,16; satisfacción media 4,79/5.
¿Este blog recomienda un tratamiento?
No. Es contenido informativo y no sustituye la evaluación clínica individual.
¿Te ha resultado interesante este paper?
Cuéntanos en comentarios qué parte te interesa más: diseño del estudio, procedimientos incluidos o seguimiento.
📌 Lee el artículo completo: Texto completo (PMC) · PubMed · DOI
ℹ️ Contenido informativo. No constituye recomendación médica.
Bibliografía (UNE-ISO 690)
- GUTIERREZ-PEREIRA, Javier; PAULOS, Flavio; GUTIERREZ-CARBONELL, Pedro; GARCIA-LOPEZ, Antonio. Osteosynthesis with allograft screws in pediatric orthopedics. Journal of Children’s Orthopaedics, 2026. DOI: 10.1177/18632521261420136. Disponible en: https://pmc.ncbi.nlm.nih.gov/articles/PMC12900655/.
- ESPAÑA. Real Decreto-ley 9/2014, de 4 de julio, por el que se establecen las normas de calidad y seguridad para la donación, obtención, evaluación, procesamiento, preservación, almacenamiento y distribución de células y tejidos humanos. Boletín Oficial del Estado.
- UNIÓN EUROPEA. Directiva 2004/23/CE del Parlamento Europeo y del Consejo, de 31 de marzo de 2004, relativa al establecimiento de normas de calidad y seguridad para la donación, obtención, evaluación, procesamiento, preservación, almacenamiento y distribución de células y tejidos humanos.
- EDQM (Council of Europe). Guide to the quality and safety of tissues and cells for human application. 5th ed. Strasbourg: Council of Europe.

